×

اضغط هنا إن لم يقم المتصفح بتحويلك آليًا.

فريق طبي بمدينة الملك عبد الله ينجح في استعادة حاجَّة مصرية لبصرها

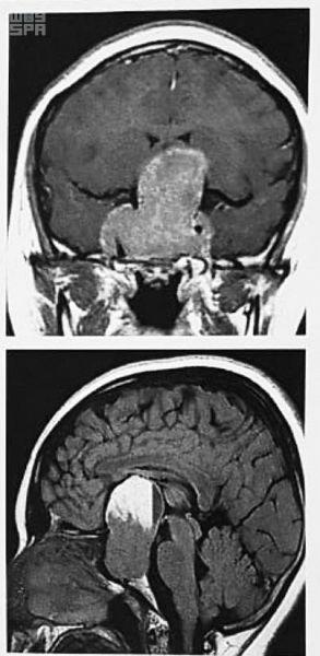
 نجح فريق مختص من مركز العلوم العصبية بمدينة الملك عبد الله الطبية بمكة المكرمة، اليوم الأربعاء، في استعادة فتاة مصرية بصرها كانت قد قدمت مع والديها لأداء فريضة الحج هذا الموسم. وبعد 7 ساعات متواصلة، أنهى الفريق الطبي المختص العملية الجراحية بقاع الجمجمة للفتاة "16 عاماً"، حيث تم استئصال ورم نازف في الغدة النخامية كان ضاغطاً على عصب العين عبر منظار بفتحة بالأنف حجمه ١ سم.
وكانت الفتاة المصرية قد أُحيلت للمركز، وذلك بعد تشخيص حالتها بفقدان شبه كامل للإبصار في العين اليسرى وضعف شديد في العين اليمنى بسبب وجود ورم ضخم ونازف في الدماغ في الغدة النخامية.      
التعليقات 0
التعليقات 0
أكثر